
Dental implants replace the feel and function of your natural teeth. They have an over 90% success rate over your lifetime. Dental implants do not get cavities like natural teeth. They are a permanent replacement of your teeth without involving the other teeth.
A minimally invasive way to treat gum recession. No cutting and minimal post-operative pain. Dr. John C. Chao, the inventor of this technique, trained Dr. Wiland. There are several options for soft tissue grafting. See if you are a candidate for the Chao Pinhole Surgical Technique.
The Laser Assisted New Attachment Procedure (LANAP) is a minimally invasive technology to treat gum disease. A special laser removes infected gum tissue keeping healthy tissue. The laser creates a seal around the teeth and gums, allowing healthy gums to form.
The goal of Dr. Wiland's practice is to help you achieve the best dental health possible. His periodontal staff is dedicated to helping patients preserve their teeth through individualized treatments and personalized care. Dr. Wiland provides a wide range of periodontal, dental implant, and cosmetic services, and he will work to develop a treatment plan that meets your individual needs. Your comfort and personal satisfaction are always of primary importance.
For over 30 years the practice of Bruce B. Wiland, DDS, MSD has led the way toward excellence in
periodontal care. His offices use advanced technology that ranges from state-of-the-art diagnostic
tools to therapeutic approaches to enhance the results of treatment and maximize patient comfort.
Bruce B. Wiland, DDS is a Diplomate of The American Board of Periodontology. Dr. Wiland earned
his undergraduate degree from DePauw University and his doctor of dental surgery (DDS) degree from
Indiana University School of Dentistry.
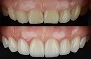
Gum grafting is a procedure to create gum tissue where it is lacking. Exposed roots can be sensitive and frequently can be covered with soft tissue grafting. A thick band of gum tissue will protect the bone and improve the outlook for some compromised teeth.
A sinus lift is a procedure to create more height of bone back of the top jaw. Bone height is needed to place dental implants. There are different techniques to accomplish this procedure. Creating an adequate amount of quality bone is the goal of a sinus lift procedure.
Sedation keeps you relaxed during dental treatment. There are several choices for how sedation is delivered, including nitrous oxide (laughing gas), oral medication, and intravenous (IV) medication. Dr. Wiland will talk with you about sedation at your consultation appointment.
Gum surgery is a simple procedure to reduce to pocket between the tooth and the gum. It is also called flap, osseous, or pocket reduction surgery. The goal is to gain access below the gum to remove bacteria, place a bone graft, or reshape the bone.
Crown lengthening can transform a smile that shows too much gum into a beautiful smile in about an hour. Results are immediate, and discomfort is minimal. Don’t let a gummy smile destroy your self-confidence.
Bone grafting can increase the support for and save your natural teeth. Bone grafting is completed during gum surgery and involves the placement of a purchased bone grafting material. The bone graft is replaced with your bone as you heal.
Leave your message and we'll get back to you shortly.